-東京都墨田区の審美矯正インプラント専門クリニック・東京審美会トップクラスのインプラント専門クリニック-
審美矯正・インプラント専門クリニック
2026年1月
月
火
水
木
金
土
日
1
2
3
4
5
6
7
8
9
10
11
12
13
14
15
16
17
18
19
20
21
22
23
24
25
26
27
28
29
30
31
« 3月
最近の投稿
オシャレ度をアップする魅惑のプチ矯正
噛み合わせの悪さは背骨の歪みを誘発
ホームページ公開
カテゴリー
お知らせ
ブログ
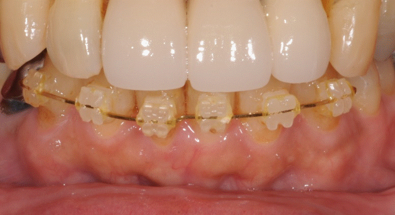
%e3%83%97%e3%83%81%e7%9f%af%e6%ad%a3
2017年03月21日
<< 前の記事へ
一覧